Phần lớn dị tật tim bẩm sinh được phát hiện ngay từ khi còn nhỏ. Tuy nhiên, vẫn có một số trường hợp bệnh tiến triển âm thầm và chỉ được phát hiện lúc trưởng thành, khi cơ thể bắt đầu xuất hiện những triệu chứng bất thường.
Triệu chứng tức ngực khó thở thoáng qua, “vén màn” dị tật tim bẩm sinh 30 năm chưa từng biết
Chị N.T.N (32 tuổi, Hà Nội) vốn có lối sống lành mạnh, chưa từng mắc bệnh tim mạch. Vì vậy, khi xuất hiện đau ngực kéo dài kèm hụt hơi, chị chỉ nghĩ đơn giản là do đau dạ dày hoặc mệt mỏi thông thường. Thế nhưng, sau 2 tuần không đỡ chị quyết định đi khám cho yên tâm thì vô cùng bất ngờ vì bị dị tật tim bẩm sinh suốt 32 năm mà không biết.
Tại BVĐK Hồng Ngọc, các xét nghiệm ban đầu và điện tâm đồ đều bình thường, không gợi ý rối loạn nhịp hay các nguyên nhân khác. Mọi chuyện tưởng như không có gì đáng lo cho đến khi bác sĩ nghe tim thấy tiếng thổi lạ, đây là chi tiết quan trọng gợi chẩn đoán và điều trị.
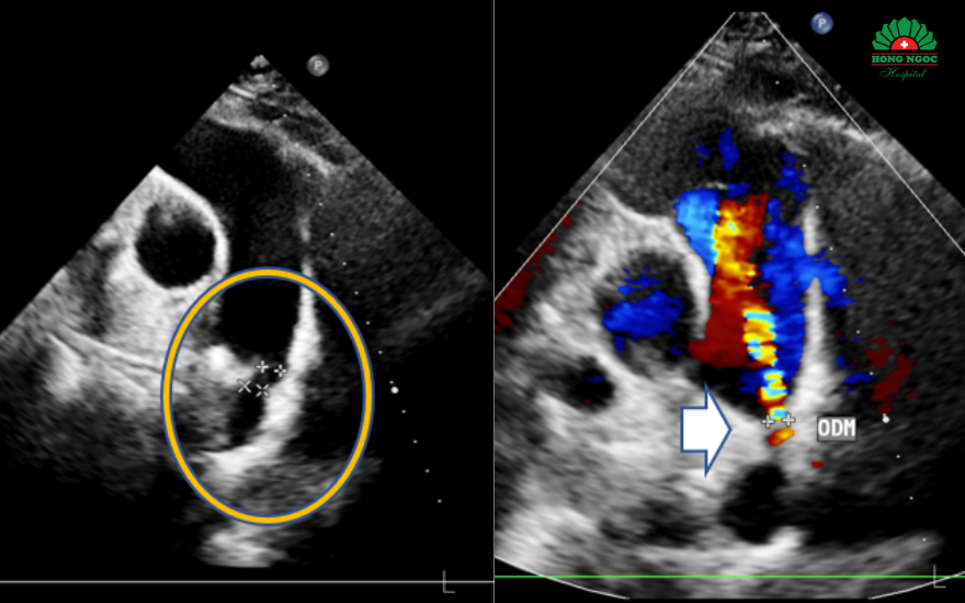
Ngay sau đó, chị N. được làm siêu âm tim. Kết quả cho thấy chị mắc còn ống động mạch - một dị tật tim bẩm sinh hiếm gặp ở người trưởng thành. Đây là tình trạng ống động mạch, vốn là mạch máu nối giữa động mạch chủ và động mạch phổi khi còn trong bào thai, không đóng lại sau khi trẻ chào đời. Ở trẻ sơ sinh, dị tật này thường được phát hiện và xử trí sớm, nhưng nếu tồn tại đến tuổi trưởng thành thì rất hiếm gặp, dễ gây ra nhiều biến chứng nguy hiểm như tăng áp phổi, suy tim,...

Hình ảnh siêu âm ghi nhận còn ống động mạch
Trước những nguy cơ tiềm ẩn có thể xảy ra, chị N. được chỉ định can thiệp đóng ống động mạch bằng dụng cụ qua da. Đây là phương pháp can thiệp hiện đại thay thế mổ mở, ít xâm lấn, an toàn và hồi phục nhanh. “Trong ca can thiệp này, việc chọn dụng cụ bít ống động mạch với kích thước phù hợp là yếu tố quyết định thành công, giúp bít kín triệt để, hạn chế biến chứng và đảm bảo hiệu quả lâu dài.” - BSNT.BSCKII. Lê Đức Hiệp - Khoa Tim mạch - Tim mạch can thiệp BVĐK Hồng Ngọc chia sẻ.
Chưa đầy một giờ đồng hồ, ê kíp đã thành công bít hoàn toàn ống động mạch cho bệnh nhân. Hình ảnh siêu âm sau can thiệp cho thấy không còn dòng chảy bất thường, dụng cụ cố định vững chắc. Chị N. nhanh chóng cải thiện triệu chứng, ổn định và xuất viện chỉ sau 2 ngày.

Hình ảnh chụp DSA trước và sau can thiệp
“Thật sự đến giờ tôi vẫn chưa tin mình mang dị tật tim bẩm sinh. Suốt 32 năm qua, tôi sống mà không hề biết nguy hiểm cận kề. Rất may mắn khi được ê kíp bác sĩ Hồng Ngọc phát hiện và chữa trị kịp thời.” - Chị N. chia sẻ trước khi xuất viện.
Nhiều dị tật tim bẩm sinh âm thầm đến tuổi trưởng thành mới được phát hiện nhờ siêu âm tim
Ở người lớn, tỷ lệ gặp còn ống động mạch chỉ chiếm khoảng 0.01- 0.02%. Theo bác sĩ Hiệp, nguyên nhân còn ống động mạch có thể do trẻ sinh non, kèm theo các dị tật bẩm sinh khác hoặc cấu trúc thành ống bất thường khiến quá trình đóng sinh lý không xảy ra. Sự tồn tại này thoạt đầu có vẻ “im lặng”, nhưng trong trường hợp ống động mạch kích thước lớn hay ống động mạch tồn tại lâu dài ở người trưởng thành dẫn đến hàng loạt biến chứng nặng nề.
Siêu âm tim đã giúp bác sĩ phát hiện dị tật tim bẩm sinh hiếm gặp, dù chị N. chỉ có triệu chứng mơ hồ và các chỉ số ban đầu hoàn toàn bình thường. Nhờ chẩn đoán chính xác, chị N. đã được can thiệp kịp thời và tránh được nguy cơ biến chứng nguy hiểm.
.png)
Siêu âm tim giúp phát hiện sớm và chính xác các dị tật tim bẩm sinh
“Siêu âm tim là phương pháp không xâm lấn hàng đầu trong chẩn đoán dị tật tim bẩm sinh, cho phép nhận diện các bất thường cấu trúc tim từ đơn giản đến phức tạp. Vì vậy, đây được coi là công cụ sàng lọc và chẩn đoán quan trọng nhằm phát hiện sớm các dị tật tim bất thường” - Bác sĩ Hiệp chia sẻ thêm.

Siêu âm tim giúp chị N. phát hiện và điều trị kịp thời còn ống động mạch
Bên cạnh đó, bác sĩ Hiệp khuyến cáo bệnh nhân không nên chủ quan với những dấu hiệu thoáng qua như đau ngực, khó thở hay tim đập nhanh. Chủ động thăm khám sớm chuyên khoa tim mạch khi có dấu hiệu bất thường chính là cách đơn giản nhưng hiệu quả để bảo vệ sức khỏe tim mạch.
Tại Khoa Tim mạch - Tim mạch can thiệp BVĐK Hồng Ngọc sử dụng máy siêu âm Doppler tim hiện đại bậc nhất từ hãng Philips (Hà Lan) cho hình ảnh rõ nét, chi tiết. Qua đó, bác sĩ có thể đánh giá chính xác cấu trúc và chức năng tim, phát hiện sớm các bất thường và xây dựng phác đồ điều trị tối ưu, cá nhân hóa cho từng bệnh nhân.
- Địa chỉ: Số 8 Châu Văn Liêm, Từ Liêm, Hà Nội/ Số 5 Yên Ninh, Ba Đình, Hà Nội
- Hotline: 0911 858 626