Mới đây, các bác sĩ tại BVĐK Hồng Ngọc Phúc Trường Minh đã thực hiện nút mạch thành công cho người bệnh có u xơ tử cung kích thước lớn kèm thiếu máu nặng. Chỉ sau 3 tháng, khối u giảm thể tích tới 8 lần, chấm dứt triệu chứng đau bụng kéo dài.
Khối u teo nhỏ rõ rệt, cải thiện triệu chứng đau bụng cho người bệnh
Chị Nguyễn Thị Thu Hà (54 tuổi, Hà Nội) nhập viện trong tình trạng đau tức bụng dưới kéo dài, bụng to bất thường, mệt mỏi, nhưng nghĩ là triệu chứng tiền mãn kinh nên chị chủ quan không thăm khám.
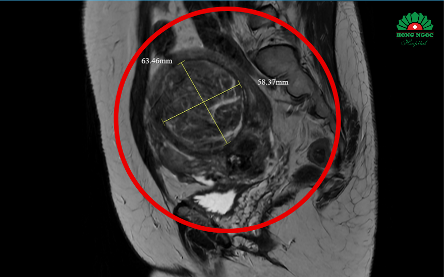
Kết quả kiểm tra tại BVĐK Hồng Ngọc cho thấy, chị Hà có tử cung to bất thường, kích thước tương đương thai 6 tháng với nhiều u xơ tử cung, khối lớn nhất 7cm. "Khi tiếp nhận, người bệnh ở trong tình trạng xanh xao, niêm mạc nhợt nhạt - triệu chứng điển hình của tình trạng thiếu máu do rong kinh. Hình ảnh siêu âm và chụp cộng hưởng từ cho thấy các khối u xơ chèn ép vào nhiều cơ quan, đặc biệt là bàng quang và trực tràng dẫn đến tình trạng căng tức khó chịu". THS.BS Đỗ Huy Hoàng (Khoa Chẩn đoán hình ảnh và Điện quang can thiệp, Bệnh viện Đa khoa Hồng Ngọc - Phúc Trường Minh) cho hay.
Hình ảnh siêu âm cho thấy nhiều u xơ tử cung, trong đó khối lớn nhất gần 7cm.
Do khối u đã gây biến chứng nên nhu cầu điều trị là bắt buộc. Tuy nhiên, người bệnh từng phẫu thuật ổ bụng nhiều lần và đang thiếu máu nặng, khiến phương án mổ bóc u tiềm ẩn nguy cơ dính ruột, chảy máu khó kiểm soát và thời gian hồi phục kéo dài. Trước các nguy cơ này, đội ngũ bác sĩ đã hội chẩn, đánh giá và quyết định lựa chọn nút mạch u xơ tử cung (UAE) – kỹ thuật ít xâm lấn giúp làm teo nhỏ u và cải thiện triệu chứng mà không cần can thiệp phẫu thuật.
“Với những bệnh nhân có tiền sử mổ nhiều lần, cấu trúc mô thường bị dính và biến dạng, khiến phẫu thuật bóc u trở thành lựa chọn không phù hợp. Nút mạch giúp chúng tôi can thiệp trực tiếp vào nguồn máu nuôi u, hạn chế tối đa chảy máu và tránh được các biến chứng tại ổ bụng. Đây là hướng điều trị an toàn và phù hợp nhất trong bối cảnh bệnh nhân đang thiếu máu nặng", bác sĩ Hoàng cho biết thêm.
Thủ thuật được thực hiện dưới gây tê, bệnh nhân hoàn toàn tỉnh táo. Bác sĩ can thiệp luồn một ống catheter từ động mạch đùi vào đến động mạch tử cung hai bên dưới hướng dẫn của màn hình tăng sáng, lựa chọn chính xác các nhánh mạch nuôi u xơ và bơm các hạt vi cầu để làm tắc nguồn máu. Sau thực hiện nút mạch, u xơ dần teo nhỏ, các triệu chứng rong kinh, căng tức bụng, rối loạn tiểu tiện dần được cải thiện . Đây là phương pháp can thiệp ít xâm lấn, hạn chế các biến chứng như mất máu, nhiễm trùng, đồng thời bảo tồn hoàn toàn tử cung và chức năng sinh sản. Sau thủ thuật, bệnh nhân thường chỉ nằm viện 1–2 ngày và có thể trở lại sinh hoạt bình thường trong khoảng 5 ngày.
"Người bệnh có nhiều u, mỗi khối u lại có nhiều mạch nuôi nên ê-kíp thực hiện phải đảm bảo tỉ mỉ, tránh bỏ sót. Sau 60p, toàn bộ mạch nuôi u được nút tắc thành công, bảo tồn trọn vẹn tử cung.”, bác sĩ Hoàng nói.
Hình ảnh khối u trước và sau khi nút mạch: toàn bộ mạch máu được nút tắc thành công.
Sau thủ thuật, người bệnh phục hồi tốt và xuất viện sau 2 ngày. Sau 3 tháng, tử cung của người bệnh đã trở về kích thước bình thường, toàn bộ u nhỏ đều đã hoại tử trong khi khối lớn nhất đã giảm kích thước tới 8 lần.
Chị Hà chia sẻ: “Hiện giờ khi tôi sờ vào bụng thấy mềm đi hẳn, không còn khối cứng như trước nữa và cũng không có cảm giác tức nặng hay khó chịu. Kinh nguyệt của tôi đã ổn định trở lại. Thực sự nhẹ nhõm vì hiệu quả rõ rệt chỉ sau vài tháng.”
Nút mạch u xơ tử cung – Phương pháp điều trị ít xâm lấn, không cần phẫu thuật
U xơ tử cung là khối u lành tính phổ biến ở phụ nữ trong độ tuổi sinh sản và tiền mãn kinh. Nhiều trường hợp tiến triển âm thầm, chỉ được phát hiện khi gây rong kinh kéo dài, đau bụng dưới, rối loạn tiểu tiện hoặc bụng to bất thường do khối u phát triển lớn. Khi không được điều trị kịp thời, u xơ có thể dẫn tới thiếu máu nặng, ảnh hưởng chất lượng sống và tiềm ẩn nhiều biến chứng.
Trong số các phương pháp điều trị hiện nay, nút mạch u xơ tử cung (Uterine Artery Embolization – UAE) được xem là lựa chọn phù hợp cho những bệnh nhân có u xơ dưới 10cm muốn tránh phẫu thuật, còn mong muốn sinh con hoặc cần bảo tồn tử cung.
Nút mạch u xơ tử cung (Uterine Artery Embolization – UAE) là phương pháp can thiệp ít xâm lấn.
Bác sĩ Hoàng nhấn mạnh: “Nút mạch u xơ tử cung chỉ là một trong nhiều phương án điều trị hiện đại. Việc lựa chọn phương án nào sẽ được bác sĩ tư vấn dựa trên tình trạng sức khỏe, kích thước và vị trí khối u. Tùy từng trường hợp, bác sĩ sẽ cân nhắc và tư vấn phù hợp với người bệnh.”
Với hơn hai thập kỷ đồng hành trong chăm sóc sức khỏe phụ nữ, Bệnh viện Đa khoa Hồng Ngọc đã trở thành địa chỉ thăm khám và điều trị phụ khoa uy tín của người bệnh tại Hà Nội và các tỉnh phía Bắc. Bệnh viện quy tụ đội ngũ bác sĩ chuyên khoa được đào tạo bài bản tại Pháp, Hàn Quốc, Nhật Bản…, giàu kinh nghiệm xử trí các ca bệnh khó. Hệ thống máy móc hiện đại cùng các kỹ thuật điều trị tiên tiến như phẫu thuật nội soi, nút mạch,… giúp giải quyết hiệu quả nhiều bệnh lý phức tạp: u xơ tử cung lớn hoặc dính, u nang và u quái buồng trứng, lạc nội mạc tử cung, ung thư cổ tử cung, u tuyến vú… đồng thời tối ưu khả năng bảo tồn khả năng sinh sản cho phụ nữ.
Hồng Ngọc cũng là bệnh viện tư nhân tiên phong tại Việt Nam đạt chuẩn chất lượng quốc tế ACHSI (Úc) và chứng chỉ của Hiệp hội Phẫu thuật Hoàng gia Anh (RCS). Các chứng nhận này khẳng định năng lực chuyên môn, quy trình điều trị an toàn – kiểm soát nhiễm khuẩn nghiêm ngặt và chất lượng chăm sóc toàn diện tại bệnh viện. Đây chính là nền tảng giúp người bệnh yên tâm điều trị và hồi phục nhanh chóng sau can thiệp phụ khoa.
Liên hệ hotline 0886 468 306 để được tư vấn và hỗ trợ.
Mới đây, các bác sĩ tại BVĐK Hồng Ngọc Phúc Trường Minh đã thực hiện nút mạch thành công cho người bệnh có u xơ tử cung kích thước lớn kèm thiếu máu nặng. Chỉ sau 3 tháng, khối u giảm thể tích tới 8 lần, chấm dứt triệu chứng đau bụng kéo dài.
Khối u teo nhỏ rõ rệt, cải thiện triệu chứng đau bụng cho người bệnh
Chị Nguyễn Thị Thu Hà (54 tuổi, Hà Nội) nhập viện trong tình trạng đau tức bụng dưới kéo dài, bụng to bất thường, mệt mỏi, nhưng nghĩ là triệu chứng tiền mãn kinh nên chị chủ quan không thăm khám.
Kết quả kiểm tra tại BVĐK Hồng Ngọc cho thấy, chị Hà có tử cung to bất thường, kích thước tương đương thai 6 tháng với nhiều u xơ tử cung, khối lớn nhất 7cm. "Khi tiếp nhận, người bệnh ở trong tình trạng xanh xao, niêm mạc nhợt nhạt - triệu chứng điển hình của tình trạng thiếu máu do rong kinh. Hình ảnh siêu âm và chụp cộng hưởng từ cho thấy các khối u xơ chèn ép vào nhiều cơ quan, đặc biệt là bàng quang và trực tràng dẫn đến tình trạng căng tức khó chịu". THS.BS Đỗ Huy Hoàng (Khoa Chẩn đoán hình ảnh và Điện quang can thiệp, Bệnh viện Đa khoa Hồng Ngọc - Phúc Trường Minh) cho hay.
Hình ảnh siêu âm cho thấy nhiều u xơ tử cung, trong đó khối lớn nhất gần 7cm.
Do khối u đã gây biến chứng nên nhu cầu điều trị là bắt buộc. Tuy nhiên, người bệnh từng phẫu thuật ổ bụng nhiều lần và đang thiếu máu nặng, khiến phương án mổ bóc u tiềm ẩn nguy cơ dính ruột, chảy máu khó kiểm soát và thời gian hồi phục kéo dài. Trước các nguy cơ này, đội ngũ bác sĩ đã hội chẩn, đánh giá và quyết định lựa chọn nút mạch u xơ tử cung (UAE) – kỹ thuật ít xâm lấn giúp làm teo nhỏ u và cải thiện triệu chứng mà không cần can thiệp phẫu thuật.
“Với những bệnh nhân có tiền sử mổ nhiều lần, cấu trúc mô thường bị dính và biến dạng, khiến phẫu thuật bóc u trở thành lựa chọn không phù hợp. Nút mạch giúp chúng tôi can thiệp trực tiếp vào nguồn máu nuôi u, hạn chế tối đa chảy máu và tránh được các biến chứng tại ổ bụng. Đây là hướng điều trị an toàn và phù hợp nhất trong bối cảnh bệnh nhân đang thiếu máu nặng", bác sĩ Hoàng cho biết thêm.
Thủ thuật được thực hiện dưới gây tê, bệnh nhân hoàn toàn tỉnh táo. Bác sĩ can thiệp luồn một ống catheter từ động mạch đùi vào đến động mạch tử cung hai bên dưới hướng dẫn của màn hình tăng sáng, lựa chọn chính xác các nhánh mạch nuôi u xơ và bơm các hạt vi cầu để làm tắc nguồn máu. Sau thực hiện nút mạch, u xơ dần teo nhỏ, các triệu chứng rong kinh, căng tức bụng, rối loạn tiểu tiện dần được cải thiện . Đây là phương pháp can thiệp ít xâm lấn, hạn chế các biến chứng như mất máu, nhiễm trùng, đồng thời bảo tồn hoàn toàn tử cung và chức năng sinh sản. Sau thủ thuật, bệnh nhân thường chỉ nằm viện 1–2 ngày và có thể trở lại sinh hoạt bình thường trong khoảng 5 ngày.
"Người bệnh có nhiều u, mỗi khối u lại có nhiều mạch nuôi nên ê-kíp thực hiện phải đảm bảo tỉ mỉ, tránh bỏ sót. Sau 60p, toàn bộ mạch nuôi u được nút tắc thành công, bảo tồn trọn vẹn tử cung.”, bác sĩ Hoàng nói.
Hình ảnh khối u trước và sau khi nút mạch: toàn bộ mạch máu được nút tắc thành công.
Sau thủ thuật, người bệnh phục hồi tốt và xuất viện sau 2 ngày. Sau 3 tháng, tử cung của người bệnh đã trở về kích thước bình thường, toàn bộ u nhỏ đều đã hoại tử trong khi khối lớn nhất đã giảm kích thước tới 8 lần.
Chị Hà chia sẻ: “Hiện giờ khi tôi sờ vào bụng thấy mềm đi hẳn, không còn khối cứng như trước nữa và cũng không có cảm giác tức nặng hay khó chịu. Kinh nguyệt của tôi đã ổn định trở lại. Thực sự nhẹ nhõm vì hiệu quả rõ rệt chỉ sau vài tháng.”
Nút mạch u xơ tử cung – Phương pháp điều trị ít xâm lấn, không cần phẫu thuật
U xơ tử cung là khối u lành tính phổ biến ở phụ nữ trong độ tuổi sinh sản và tiền mãn kinh. Nhiều trường hợp tiến triển âm thầm, chỉ được phát hiện khi gây rong kinh kéo dài, đau bụng dưới, rối loạn tiểu tiện hoặc bụng to bất thường do khối u phát triển lớn. Khi không được điều trị kịp thời, u xơ có thể dẫn tới thiếu máu nặng, ảnh hưởng chất lượng sống và tiềm ẩn nhiều biến chứng.
Trong số các phương pháp điều trị hiện nay, nút mạch u xơ tử cung (Uterine Artery Embolization – UAE) được xem là lựa chọn phù hợp cho những bệnh nhân có u xơ dưới 10cm muốn tránh phẫu thuật, còn mong muốn sinh con hoặc cần bảo tồn tử cung.
Nút mạch u xơ tử cung (Uterine Artery Embolization – UAE) là phương pháp can thiệp ít xâm lấn.
Bác sĩ Hoàng nhấn mạnh: “Nút mạch u xơ tử cung chỉ là một trong nhiều phương án điều trị hiện đại. Việc lựa chọn phương án nào sẽ được bác sĩ tư vấn dựa trên tình trạng sức khỏe, kích thước và vị trí khối u. Tùy từng trường hợp, bác sĩ sẽ cân nhắc và tư vấn phù hợp với người bệnh.”
Với hơn hai thập kỷ đồng hành trong chăm sóc sức khỏe phụ nữ, Bệnh viện Đa khoa Hồng Ngọc đã trở thành địa chỉ thăm khám và điều trị phụ khoa uy tín của người bệnh tại Hà Nội và các tỉnh phía Bắc. Bệnh viện quy tụ đội ngũ bác sĩ chuyên khoa được đào tạo bài bản tại Pháp, Hàn Quốc, Nhật Bản…, giàu kinh nghiệm xử trí các ca bệnh khó. Hệ thống máy móc hiện đại cùng các kỹ thuật điều trị tiên tiến như phẫu thuật nội soi, nút mạch,… giúp giải quyết hiệu quả nhiều bệnh lý phức tạp: u xơ tử cung lớn hoặc dính, u nang và u quái buồng trứng, lạc nội mạc tử cung, ung thư cổ tử cung, u tuyến vú… đồng thời tối ưu khả năng bảo tồn khả năng sinh sản cho phụ nữ.
Hồng Ngọc cũng là bệnh viện tư nhân tiên phong tại Việt Nam đạt chuẩn chất lượng quốc tế ACHSI (Úc) và chứng chỉ của Hiệp hội Phẫu thuật Hoàng gia Anh (RCS). Các chứng nhận này khẳng định năng lực chuyên môn, quy trình điều trị an toàn – kiểm soát nhiễm khuẩn nghiêm ngặt và chất lượng chăm sóc toàn diện tại bệnh viện. Đây chính là nền tảng giúp người bệnh yên tâm điều trị và hồi phục nhanh chóng sau can thiệp phụ khoa.
Liên hệ hotline 0886 468 306 để được tư vấn và hỗ trợ.