“Là giáo viên thể dục, cuộc sống của tôi gắn liền với vận động, tôi chưa bao giờ nghĩ đến mình bị bệnh tim…” - anh P.C.T (40 tuổi, Lạng Sơn) chia sẻ.
Trước đó, anh T với thể hình vượt trội (cao 1m82, nặng 104kg) đi khám vì có cảm giác hụt hơi, chóng mặt nhẹ vào buổi sáng, mệt mỏi - đặc biệt tăng lên khi gắng sức. Nghĩ rằng tình trạng này liên quan đến viêm mũi dị ứng kéo dài hoặc béo phì, anh đến một cơ sở y tế gần nhà để kiểm tra. Tuy nhiên, bác sĩ phát hiện tiếng thổi bất thường khi nghe tim phổi và khuyến cáo anh nên khám chuyên sâu.
Tin tưởng vào chất lượng chuyên môn tại BVĐK Hồng Ngọc, anh T đã vượt hơn 100km tới Hà Nội để thăm khám với TS.BS Lê Thị Thanh Hằng - bác sĩ chuyên khoa Nội Tim mạch.

TS.BS Lê Thị Thanh Hằng - bác sĩ chuyên khoa Nội Tim mạch BVĐK Hồng Ngọc thăm khám cho bệnh nhân
Phát hiện bệnh tim tiềm ẩn nhờ siêu âm Doppler tim toàn diện
Tại BVĐK Hồng Ngọc, trong quá trình thăm khám, bác sĩ Hằng nhận thấy tiếng thổi bất thường khi nghe tim - dấu hiệu gợi ý tổn thương van tim. Kết quả điện tim cho thấy nhịp tim không đều, kèm theo tình trạng tim phải hoạt động nhiều hơn bình thường.
Khi tiến hành siêu âm Doppler tim toàn diện, bác sĩ phát hiện van hai lá bị sa và hở nhiều, khiến máu trào ngược trong tim. Tình trạng này kéo dài đã làm các buồng tim bên trái giãn to, chức năng co bóp của tim bắt đầu suy giảm. Đây là những bất thường khó có thể phát hiện nếu chỉ siêu âm nhanh hoặc đánh giá tổng thể, mà cần khảo sát kỹ từng vùng cơ tim ở nhiều góc độ khác nhau.
Điều may mắn là dù tim đã giãn, chưa xuất hiện huyết khối trong buồng tim, giúp giảm đáng kể nguy cơ biến chứng nguy hiểm như đột quỵ.
Với kinh nghiệm lâm sàng, bác sĩ Hằng nhanh chóng hội chẩn liên chuyên khoa để xác định chính xác mức độ tổn thương và xây dựng chiến lược điều trị phù hợp, nhằm bảo tồn chức năng tim và chuẩn bị cho can thiệp van hai lá khi cần thiết.

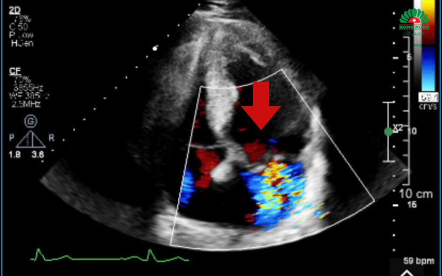
Siêu âm tim ghi nhận hình ảnh dòng màu hở van hai lá
Khi bệnh lý nội tiết và béo phì trở thành yếu tố đẩy nhanh suy tim
Ngoài sa van hai lá, tim của anh T còn xuất hiện rối loạn nhịp do buồng tim trái bị giãn và quá tải lâu ngày. Men tim tăng cho thấy tim đang phải làm việc quá sức. Cùng với đó là tiên sử béo phì và suy tuyến thượng thận do dùng thuốc, nguy cơ suy tim có thể tiến triển nhanh nếu không được kiểm soát kịp thời.
Rất may mắn, sau quá trình điều trị tích cực, bệnh nhân giảm được 2kg chỉ trong 3 tuần, chức năng tim cải thiện rõ rệt, huyết áp ổn định. Bệnh nhân được theo dõi sát sao tại BVĐK Hồng Ngọc để chuẩn bị cho can thiệp thay van.
Đừng chủ quan với sức khỏe tim mạch dù không có triệu chứng
Sa van hai lá là tình trạng van này bị hở, khiến máu chảy ngược lại vào buồng tim trái thay vì được đẩy đi nuôi cơ thể.

Điều đặc biệt là bệnh có thể tồn tại âm thầm trong nhiều năm. Lý giải về trường hợp này, bác sĩ Hằng chia sẻ: “Ở giai đoạn đầu, tim vẫn còn khả năng bù trừ tốt, đặc biệt ở người trẻ, thể lực khá hoặc thường xuyên vận động. Chính vì vậy, người bệnh hầu như không có triệu chứng rõ ràng, hoặc chỉ xuất hiện những biểu hiện rất mơ hồ như mệt thoáng qua, hoa mắt khi thay đổi tư thế… dễ bị bỏ qua hoặc nhầm lẫn với các nguyên nhân khác.”
Tuy nhiên, theo thời gian, khi van tim thoái hóa nhiều hơn, lượng máu trào ngược tăng dần, tim buộc phải làm việc quá sức để bù lại. Hậu quả là buồng tim giãn, chức năng co bóp suy giảm, làm tăng nguy cơ suy tim, rối loạn nhịp tim thậm chí là đột quỵ.
Việc thăm khám kỹ lưỡng và siêu âm tim định kỳ với bác sĩ chuyên khoa là cách đơn giản nhưng hiệu quả để phát hiện sớm và phòng ngừa biến chứng.
Chủ động tầm soát tim mạch sớm nếu bạn có yếu tố nguy cơ như: béo phì, rối loạn nội tiết, mệt không rõ nguyên nhân hoặc có bất thường khi đo điện tim.
CHUYÊN KHOA TIM MẠCH - BỆNH VIỆN ĐA KHOA HỒNG NGỌC
- Số 55 Phố Yên Ninh, Phường Ba Đình, Thành phố Hà Nội
- Hotline: 0911 858 626