Phát hiện hẹp động mạch cảnh nghiêm trọng sau khi ngất xỉu tại sân bay, nguy cơ đột quỵ cao, cụ ông 79 tuổi người Israel may mắn được khôi phục dòng máu nuôi não kịp thời tại BVĐK Hồng Ngọc.
Ngất xỉu, mất ý thức tạm thời do tắc hoàn toàn động mạch cảnh
Ngay khi vừa đặt chân xuống sân bay Nội Bài trong chuyến du lịch tới Việt Nam, ông Jack Halpern (79 tuổi, quốc tịch Israel) bất ngờ choáng váng, hoa mắt và ngất xỉu trong nhà vệ sinh. Sau khi tỉnh lại, ông tới khám tại Bệnh viện Đa khoa Hồng Ngọc trong tình trạng mất trí nhớ tạm thời, không nhớ những gì đã xảy ra trước đó, kèm theo cảm giác mệt lả, tay chân lạnh.
Ông Halpern kể lại, dù đã khám thường xuyên và duy trì thuốc tim mạch đều đặn suốt nhiều năm nay tại Nhật Bản nhưng huyết áp của ông vẫn khó kiểm soát, thường xuyên dao động quanh 150/100 mmHg, thậm chí có thời điểm tăng vọt lên 180/100 mmHg. Bên cạnh đó, ông còn có tiền sử rối loạn mỡ máu và suy tim.
Ngay khi tiếp nhận ca bệnh, ThS.BSNT Cao Mạnh Hưng - Khoa Tim mạch - Tim mạch can thiệp, BVĐK Hồng Ngọc - Phúc Trường Minh đã nhận định ông Halpern có biểu hiện điển hình của cơn thiếu máu não thoáng qua, tiềm ẩn nguy cơ đột quỵ rất cao. Các kết quả thăm dò cận lâm sàng sau đó cho thấy động mạch cảnh trong bên phải của người bệnh bị hẹp rất khít (>90%) ngay từ lỗ vào, kèm theo nhiều mảng xơ vữa. Ngoài ra, hệ mạch vành cũng ghi nhận hẹp trên 90% tại động mạch liên thất trước.
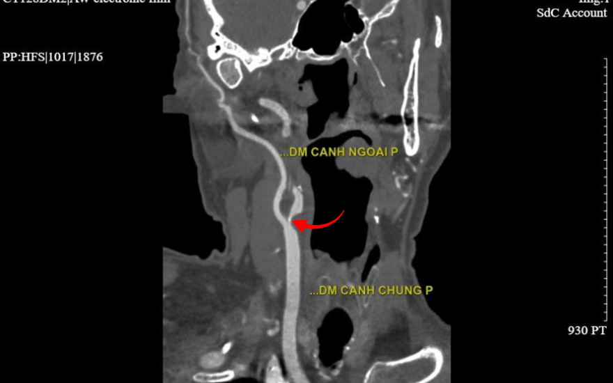
_15.png)
Vị trí hẹp mạch cảnh trên hình ảnh chụp CT 2560 lát cắt
Hẹp động mạch cảnh khiến dòng máu lên não bị giảm sút hoặc tắc nghẽn chính là nguyên nhân gây ra những triệu chứng nguy hiểm mà ông Halpern gặp phải. Bác sĩ Hưng cảnh báo: “Nếu lòng mạch không được tái thông kịp thời, người bệnh có thể đối mặt với cơn tai biến mạch máu não cùng những di chứng nặng nề như liệt, rối loạn ngôn ngữ, sa sút trí tuệ, thậm chí đe dọa tính mạng”.
Chiến lược can thiệp từ trái tim đến não bộ: Từng bước - An toàn - Chính xác
Trước tình trạng bệnh lý phức tạp và nghiêm trọng trên nền một bệnh nhân tuổi cao, mang nhiều yếu tố nguy cơ như ông Halpern, ê kíp can thiệp xác định không thể vội vàng tiến hành can thiệp động mạch cảnh ngay lập tức.
Thay vào đó, người bệnh cần được lập kế hoạch điều trị thận trọng và cá thể hóa, trong đó việc đánh giá chính xác và điều trị cải thiện chức năng tim đóng vai trò then chốt nhằm đảm bảo mức độ an toàn cao nhất trong suốt quá trình can thiệp.
Lý giải về chiến lược điều trị, ThS.BS Nguyễn Văn Hải - Trưởng khoa Tim mạch người trực tiếp can thiệp cho ông Halpern chia sẻ: “Xoang cảnh là một vùng nhạy cảm ở cổ, có vai trò điều hòa huyết áp và nhịp tim. Khi can thiệp tại đây, có thể kích thích sự phản ứng của cơ thể dẫn tới tụt huyết áp hoặc chậm nhịp tim. Vì vậy, nếu người bệnh đồng thời có bệnh mạch vành như ông Halpern, chúng tôi thường xử lý mạch vành trước để tim ổn định, sau đó mới can thiệp mạch cảnh để đảm bảo an toàn hơn”.
Theo đó, ê kíp quyết định chia quá trình can thiệp thành hai giai đoạn, song song với việc điều trị nội khoa tích cực nhằm kiểm soát ổn định các bệnh lý nền trước thủ thuật.
Ở lần can thiệp thứ nhất, ông Halpern được đặt stent mạch vành nhằm phòng ngừa nguy cơ nhồi máu cơ tim cấp - biến chứng có thể đe dọa trực tiếp đến tính mạng.
Sau 5 ngày, khi tình trạng sức khỏe ổn định, dòng máu nuôi tim được tái thông hiệu quả, ê kíp tiếp tục thực hiện đặt stent động mạch cảnh để mở rộng vị trí bị hẹp giúp khôi phục lưu lượng máu lên não và giảm thiểu nguy cơ đột quỵ.

Ê kíp tiến hành đặt stent động mạch cảnh cho người bệnh
Bác sĩ Hải cũng cho biết: “Trong suốt quá trình can thiệp, chúng tôi liên tục theo dõi và kiểm soát chặt chẽ các dấu hiệu sinh tồn của người bệnh nhằm đảm bảo não bộ được bảo vệ an toàn ở mức tốt nhất.”
Ngay trên bàn can thiệp - sau khi kết thúc thủ thuật, ông Halpern đã cảm nhận các triệu chứng gần như biến mất, không còn đau đầu, chóng mặt.
Ba ngày sau lần can thiệp thứ 2, ông Halpern tỉnh táo, hồi phục nhanh và được ra viện
Sau can thiệp, ông Halpern tiếp tục được bác sĩ hướng dẫn kiểm soát chặt chẽ các yếu tố nguy cơ như tăng huyết áp, rối loạn mỡ máu, đồng thời cần phải tuân thủ nghiêm ngặt việc dùng thuốc kháng kết tập tiểu cầu nhằm phòng ngừa các biến chứng, đặc biệt là nguy cơ tái hẹp trong stent.
Từ ca bệnh điển hình này, bác sĩ Hải nhấn mạnh khi bệnh nhân có các triệu chứng của tai biến mạch não như: yếu hoặc liệt tay chân, mất ý thức, méo miệng, liệt nửa người, nhìn mờ,... hoặc đã được chẩn đoán tai biến mạch máu não kết hợp với tiền sử có yếu tố nguy cơ tim mạch nên khám định kỳ và siêu âm Doppler động mạch cảnh. Đây là phương pháp sàng lọc không xâm lấn nhằm phát hiện và đánh giá chính xác mức độ hẹp hoặc tắc nghẽn mạch máu não, từ đó đưa ra phương án điều trị, can thiệp kịp thời.
Khoa Tim mạch - Tim mạch can thiệp BVĐK Hồng Ngọc
- Số 55 phố Yên Ninh, phường Ba Đình, Hà Nội
- Số 8 đường Châu Văn Liêm, Phường Từ Liêm, Hà Nội
- Hotline: 0911 858 626