Mới đây, ekip bác sĩ liên chuyên khoa Nội tiết – Xét nghiệm – Chẩn đoán hình ảnh, BVĐK Hồng Ngọc – Phúc Trường minh đã kết hợp chặt chẽ, chẩn đoán chính xác bệnh cushing hiếm gặp cho nữ bệnh nhân 32 tuổi, mở ra cơ hội chấm dứt hoàn toàn tình trạng rối loạn nội tiết trong nhiều năm không rõ nguyên nhân.
Bệnh nhân P.T.T (32 tuổi, Hà Nội) đến khám tại BVĐK Hồng Ngọc trong tình trạng mệt mỏi, tăng huyết áp, mất kinh nguyệt suốt 3 năm. Được biết, tình trạng này đã tồn tại rất lâu, bệnh nhân đã thăm khám nhiều nơi nhưng không được điều trị dứt điểm. Qua kiểm tra lâm sàng, bác sĩ phát hiện bệnh nhân có mặt to tròn, mọc râu nhẹ vùng mép, da tăng tiết dầu, kết hợp kiểm tra cận lâm sàng chẩn đoán bệnh nhân mắc hội chứng cushing phụ thuộc ACTH – một rối loạn nội tiết hiếm gặp do tăng hormone cortisol kéo dài.
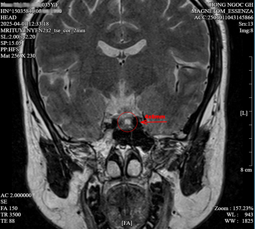
Tuy nhiên, để điều trị triệt để, bác sĩ cần chẩn đoán chính xác căn nguyên gây ra bệnh. Bệnh nhân P.T.T được chỉ định chụp MRI, phát hiện có tổn thương nhỏ kích thước 4x6mm thùy sau tuyến yên lệch trái - nghi ngờ là nguyên nhân tăng tiết ACTH - dẫn đến tăng sản xuất Cortisol.
Dù vậy, chỉ dựa vào hình ảnh tổn thương trên MRI là chưa đủ cơ sở để đưa ra chẩn đoán cuối cùng. Bởi lẽ, không phải mọi khối u tuyến yên đều gây hội chứng Cushing, và cũng không thể loại trừ khả năng bệnh nhân đang mang u tiết ACTH lạc chỗ tại một vị trí khác trong cơ thể. Trước yêu cầu xác định nguồn gốc hormone bất thường một cách chính xác và dứt điểm, các bác sĩ đã chỉ định thực hiện một kỹ thuật can thiệp chuyên sâu – lấy máu tĩnh mạch xoang đá dưới (IPSS), được xem là “tiêu chuẩn vàng” trong chẩn đoán phân biệt bệnh cushing và u lạc chỗ tiết ACTH.
%20t%E1%BA%A1i%20Ph%C3%B2ng%20can%20thi%E1%BB%87p%20m%E1%BA%A1ch%20s%E1%BB%91%20h%C3%B3a%20x%C3%B3a%20n%E1%BB%81n%20(DSA)%20(2).png)
Tổn thương kích thước 4x6mm ở thùy sau tuyến yên lệch trái
ThS.BS Đỗ Huy Hoàng – bác sĩ Khoa Chẩn đoán hình ảnh và Điện quang can thiệp, BVĐK Hồng Ngọc trực tiếp thực hiện thủ thuật IPSS cho bệnh nhân T – cho biết: “Lấy máu từ tĩnh mạch xoang đá dưới là kỹ thuật xâm lấn tối thiểu nhưng có độ chính xác rất cao, giúp phân biệt hội chứng Cushing do u tuyến yên với các nguyên nhân khác như u tiết ACTH lạc chỗ. Đây được xem là tiêu chuẩn vàng trong chẩn đoán xác định bệnh Cushing.”
Quy trình IPSS được thực hiện dưới sự hướng dẫn của hình ảnh chụp mạch số hóa xóa nền công nghệ DSA Hà Lan. Trong quá trình can thiệp, ekip Chẩn đoán hình ảnh - đứng đầu là ThS.BS Đỗ Huy Hoàng đã luồn hai ống thông nhỏ qua tĩnh mạch đùi của bệnh nhân, dẫn vào xoang đá dưới hai bên – vùng tĩnh mạch gần tuyến yên, lấy mẫu máu từ cả 2 xoang đá và tĩnh mạch ngoại vi.

Bác sĩ Đỗ Huy Hoàng thực hiện kỹ thuật Lấy máu xoang đá dưới (IPSS) tại phòng DSA
Để đảm bảo kết quả chính xác, ekip bác sĩ xét nghiệm túc trực, ngay lập tức tiếp nhận mẫu xét nghiệm, bảo quản ở tủ chuyên dụng, đảm bảo nhiệt độ 2-8°C và thực hiện phân tích tức thì.
2 giờ sau can thiệp, kết quả xét nghiệm cho thấy nồng độ ACTH tại xoang đá tăng vượt trội so với máu ngoại vi, khẳng định bệnh nhân mắc bệnh Cushing do u tuyến yên tiết ACTH, mở ra hướng điều trị dứt điểm tình trạng bệnh.
.png)
ThS.BSNT Phùng Quốc Toản thăm khám cho bệnh nhân
Theo ThS.BS Phùng Quốc Toản, Khoa Nội tiết, BVĐK Hồng Ngọc - bác sĩ trực tiếp điều trị cho bệnh nhân T: “Sau khi xác định đúng nguyên nhân, bệnh nhân sẽ được can thiệp phẫu thuật loại bỏ u tuyến yên qua đường mũi - xoang bướm. Đây là phương pháp can thiệp đầu tay được khuyến cáo bởi Hiệp hội Nội tiết. Ngoài ra, sau khi phẫu thuật bệnh nhân cũng sẽ tiếp tục được điều trị nội khoa, kiểm soát tình trạng suy tuyến thượng thận.”
*Hội chứng Cushing là một bệnh nội tiết do cơ thể sản xuất quá nhiều hormone cortisol trong thời gian dài. Bệnh có thể do lạm dụng thuốc corticoid hoặc do các khối u ở tuyến yên, tuyến thượng thận. Các triệu chứng điển hình bao gồm tăng cân phần thân trên, mặt tròn, yếu cơ, loãng xương, rối loạn kinh nguyệt và thay đổi ngoại hình bất thường như mọc râu ở nữ giới. Nếu không được phát hiện và điều trị kịp thời, có thể gây ra nhiều biến chứng nghiêm trọng như suy giảm miễn dịch, bệnh tim mạch, rối loạn thần kinh, rối loạn chuyển hóa và dễ nhiễm trùng.