대부분의 선천성 심장 기형은 어린 시절에 발견됩니다. 그러나, 일부의 경우, 증상이 미미하여 성인이 될 때까지 잠복해 있다가 뒤늦게 발견되는 사례가 있습니다. 30대 여성 N.T.N 씨 (32세, 하노이)의 이야기가 바로 그러합니다. 평소 건강하고 심혈관 질환과는 거리가 멀었던 N.T.N 씨는, 최근 들어 지속적인 가슴 통증과 숨 가쁨을 겪었습니다. 처음에는 단순한 위장 장애나 피로 때문일 거라고 가볍게 여겼습니다. 그러나 2주가 지나도 증상이 나아지지 않자, 혹시나 하는 마음에 병원을 찾았습니다. 그리고 그곳에서 32년 동안 모르고 지냈던 '선천성 심장 기형'이라는 충격적인 진단을 받게 됩니다.
'이상한 심장 잡음'이 결정적 단서! 성인에게 드문 '동맥관 개존증' 발견
홍옥 종합병원 방문 초기, 기본적인 검사와 심전도(ECG)에서는 부정맥이나 다른 심장 질환을 의심할 만한 특별한 이상이 발견되지 않았습니다. 하지만 심장 청진 과정에서 '이상한 심장 잡음(murmur)'이 들렸고, 이것이 의료진에게 중요한 단서가 되었습니다.
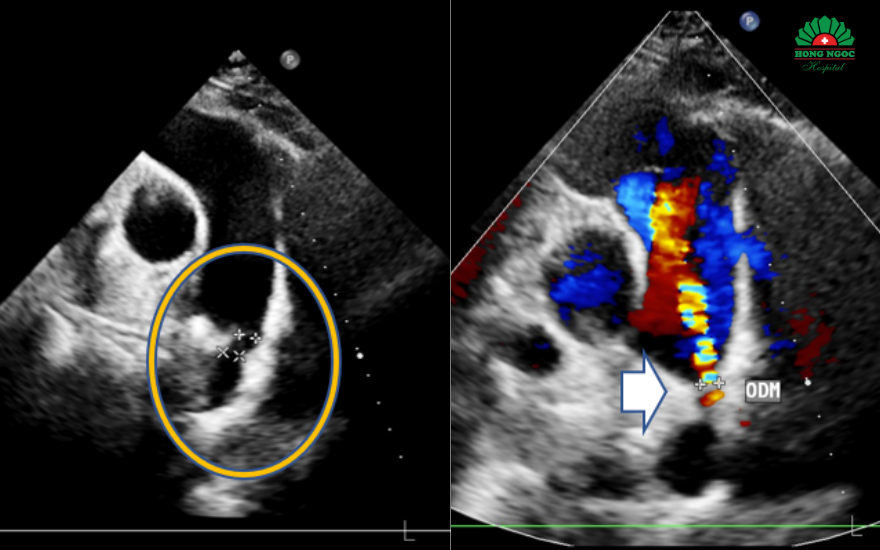
동맥관 개존증이 확인된 초음파 영상
즉시 시행된 심장 초음파 검사 결과, N.T.N 씨는 '동맥관 개존증'을 앓고 있는 것으로 확인되었습니다. 동맥관 개존증은 태아 시기에 대동맥과 폐동맥을 연결하던 혈관 통로가 출생 후에도 닫히지 않고 남아 있는 선천성 심장 기형입니다. 신생아에게는 흔하지만, 성인에게서 발견되는 경우는 매우 드물고 폐 고혈압, 심부전 등 심각한 합병증을 유발할 수 있습니다.
"성인 동맥관 개존증은 전체 성인 심장 질환의 0.01~0.02%만을 차지할 정도로 희귀합니다. 선천적인 구조 이상이나 미숙아 출산 등의 원인으로 발생하며, 처음에는 증상이 없을 수 있으나, 시간이 지날수록 심각한 합병증을 초래할 수 있습니다." - 레 득 히엡 (Lê Đức Hiệp) 내과 전문의/심장 중재 시술 전문의 (홍옥 종합병원 심장내과)
개흉 수술 없이 최소 침습 시술로 완치: '경피적 동맥관 폐쇄술'
잠재적인 위험으로부터 환자를 보호하기 위해 의료진은 '경피적 동맥관 폐쇄술'을 시행하기로 결정했습니다. 이 방법은 가슴을 열고 하는 개흉 수술 대신, 카테터를 이용해 혈관을 따라 특수 기구를 삽입하여 동맥관을 막는 최소 침습적 시술입니다. 안전성이 높고 회복이 빠르다는 장점이 있습니다.
"이 시술의 성공은 환자에게 적합한 크기의 폐쇄 장치(Amplatzer Duct Occluder 등)를 정확하게 선택하는 것에 달려 있습니다. 완벽한 폐쇄를 달성하여 합병증을 최소화하고 장기적인 효과를 보장하는 것이 핵심입니다." - 레 득 히엡 전문의의 설명입니다.
1시간도 채 되지 않아, 홍옥 종합병원 심장 중재 시술팀은 환자의 동맥관을 완전히 폐쇄하는 데 성공했습니다. 시술 후 초음파 영상에서는 비정상적인 혈류 흐름이 사라졌고, 장치는 안정적으로 고정된 것이 확인되었습니다. N.T.N 씨는 증상이 빠르게 호전되어 단 2일 만에 건강하게 퇴원할 수 있었습니다.
중재술 전후의 DSA 촬영 영상
"지금까지도 제가 선천성 심장병을 가지고 있었다는 사실이 믿기지 않습니다. 32년 동안 위험을 모르고 살았다는 것이 아찔합니다. 홍옥 종합병원 의료진 덕분에 조기에 발견하고 치료받을 수 있어서 정말 다행이고 감사합니다." - 퇴원 전 N.T.N 씨의 소감입니다.
희미한 증상도 놓치지 않는 정밀 진단: 심장 초음파의 중요성
N.T.N 씨처럼 모호한 증상과 정상적인 초기 검사 결과에도 불구하고 선천성 심장 기형을 발견할 수 있었던 것은 심장 초음파(Echocardiography)의 역할이 컸습니다.
심장 초음파는 선천성 심장 기형을 조기에 정확하게 발견하는 데 도움을 줍니다.
"심장 초음파는 비침습적인 방식으로, 단순한 것부터 복잡한 것까지 심장의 구조적 이상을 명확히 식별할 수 있는 선천성 심장 기형 진단의 가장 기본적인 도구입니다. 이는 이상을 조기에 발견하는 데 있어 매우 중요한 역할을 합니다." - 레 득 히엡 전문의가 강조했습니다.
N. 씨는 심장 초음파를 통해 동맥관 개존증을 조기에 발견하고 치료할 수 있었습니다. 따라서 의사는 가슴 통증, 호흡 곤란, 심장 박동 이상과 같은 일시적인 증상이라도 가볍게 여기지 말고, 이상 징후가 있을 때 심장 전문의의 조기 검진을 받는 것이 심장 건강을 지키는 가장 간단하고 효과적인 방법이라고 조언합니다.
홍옥 종합병원 심장내과/심장 중재 시술센터는 필립스(Philips, 네덜란드)의 최신형 도플러 심장 초음파 장비를 사용하여 선명하고 상세한 이미지를 제공합니다. 이를 통해 심장 구조와 기능을 정확하게 평가하고, 이상을 조기에 발견하며, 환자 개개인에게 최적화된 맞춤형 치료 계획을 수립합니다.
주소: Tu Liem군 Chau Van Liem거리 8번지 / Ba Dinh군 Yen Ninh거리 55번
핫라인: 0911 858 626
대부분의 선천성 심장 기형은 어린 시절에 발견됩니다. 그러나, 일부의 경우, 증상이 미미하여 성인이 될 때까지 잠복해 있다가 뒤늦게 발견되는 사례가 있습니다. 30대 여성 N.T.N 씨 (32세, 하노이)의 이야기가 바로 그러합니다. 평소 건강하고 심혈관 질환과는 거리가 멀었던 N.T.N 씨는, 최근 들어 지속적인 가슴 통증과 숨 가쁨을 겪었습니다. 처음에는 단순한 위장 장애나 피로 때문일 거라고 가볍게 여겼습니다. 그러나 2주가 지나도 증상이 나아지지 않자, 혹시나 하는 마음에 병원을 찾았습니다. 그리고 그곳에서 32년 동안 모르고 지냈던 '선천성 심장 기형'이라는 충격적인 진단을 받게 됩니다.
'이상한 심장 잡음'이 결정적 단서! 성인에게 드문 '동맥관 개존증' 발견
홍옥 종합병원 방문 초기, 기본적인 검사와 심전도(ECG)에서는 부정맥이나 다른 심장 질환을 의심할 만한 특별한 이상이 발견되지 않았습니다. 하지만 심장 청진 과정에서 '이상한 심장 잡음(murmur)'이 들렸고, 이것이 의료진에게 중요한 단서가 되었습니다.
동맥관 개존증이 확인된 초음파 영상
즉시 시행된 심장 초음파 검사 결과, N.T.N 씨는 '동맥관 개존증'을 앓고 있는 것으로 확인되었습니다. 동맥관 개존증은 태아 시기에 대동맥과 폐동맥을 연결하던 혈관 통로가 출생 후에도 닫히지 않고 남아 있는 선천성 심장 기형입니다. 신생아에게는 흔하지만, 성인에게서 발견되는 경우는 매우 드물고 폐 고혈압, 심부전 등 심각한 합병증을 유발할 수 있습니다.
"성인 동맥관 개존증은 전체 성인 심장 질환의 0.01~0.02%만을 차지할 정도로 희귀합니다. 선천적인 구조 이상이나 미숙아 출산 등의 원인으로 발생하며, 처음에는 증상이 없을 수 있으나, 시간이 지날수록 심각한 합병증을 초래할 수 있습니다." - 레 득 히엡 (Lê Đức Hiệp) 내과 전문의/심장 중재 시술 전문의 (홍옥 종합병원 심장내과)
개흉 수술 없이 최소 침습 시술로 완치: '경피적 동맥관 폐쇄술'
잠재적인 위험으로부터 환자를 보호하기 위해 의료진은 '경피적 동맥관 폐쇄술'을 시행하기로 결정했습니다. 이 방법은 가슴을 열고 하는 개흉 수술 대신, 카테터를 이용해 혈관을 따라 특수 기구를 삽입하여 동맥관을 막는 최소 침습적 시술입니다. 안전성이 높고 회복이 빠르다는 장점이 있습니다.
"이 시술의 성공은 환자에게 적합한 크기의 폐쇄 장치(Amplatzer Duct Occluder 등)를 정확하게 선택하는 것에 달려 있습니다. 완벽한 폐쇄를 달성하여 합병증을 최소화하고 장기적인 효과를 보장하는 것이 핵심입니다." - 레 득 히엡 전문의의 설명입니다.
1시간도 채 되지 않아, 홍옥 종합병원 심장 중재 시술팀은 환자의 동맥관을 완전히 폐쇄하는 데 성공했습니다. 시술 후 초음파 영상에서는 비정상적인 혈류 흐름이 사라졌고, 장치는 안정적으로 고정된 것이 확인되었습니다. N.T.N 씨는 증상이 빠르게 호전되어 단 2일 만에 건강하게 퇴원할 수 있었습니다.
중재술 전후의 DSA 촬영 영상
"지금까지도 제가 선천성 심장병을 가지고 있었다는 사실이 믿기지 않습니다. 32년 동안 위험을 모르고 살았다는 것이 아찔합니다. 홍옥 종합병원 의료진 덕분에 조기에 발견하고 치료받을 수 있어서 정말 다행이고 감사합니다." - 퇴원 전 N.T.N 씨의 소감입니다.
희미한 증상도 놓치지 않는 정밀 진단: 심장 초음파의 중요성
N.T.N 씨처럼 모호한 증상과 정상적인 초기 검사 결과에도 불구하고 선천성 심장 기형을 발견할 수 있었던 것은 심장 초음파(Echocardiography)의 역할이 컸습니다.
심장 초음파는 선천성 심장 기형을 조기에 정확하게 발견하는 데 도움을 줍니다.
"심장 초음파는 비침습적인 방식으로, 단순한 것부터 복잡한 것까지 심장의 구조적 이상을 명확히 식별할 수 있는 선천성 심장 기형 진단의 가장 기본적인 도구입니다. 이는 이상을 조기에 발견하는 데 있어 매우 중요한 역할을 합니다." - 레 득 히엡 전문의가 강조했습니다.
N. 씨는 심장 초음파를 통해 동맥관 개존증을 조기에 발견하고 치료할 수 있었습니다. 따라서 의사는 가슴 통증, 호흡 곤란, 심장 박동 이상과 같은 일시적인 증상이라도 가볍게 여기지 말고, 이상 징후가 있을 때 심장 전문의의 조기 검진을 받는 것이 심장 건강을 지키는 가장 간단하고 효과적인 방법이라고 조언합니다.
홍옥 종합병원 심장내과/심장 중재 시술센터는 필립스(Philips, 네덜란드)의 최신형 도플러 심장 초음파 장비를 사용하여 선명하고 상세한 이미지를 제공합니다. 이를 통해 심장 구조와 기능을 정확하게 평가하고, 이상을 조기에 발견하며, 환자 개개인에게 최적화된 맞춤형 치료 계획을 수립합니다.
주소: Tu Liem군 Chau Van Liem거리 8번지 / Ba Dinh군 Yen Ninh거리 55번