공항 실신 후 심각한 경동맥 협착 발견, 뇌졸중 위험 높았던 79세 이스라엘 환자 홍응옥 종합병원에서 극적으로 회복
내경동맥 폐쇄로 인한 실신 및 일시적 의식 상실
베트남 여행을 위해 노이바이 공항에 도착한 잭 할펀(Jack Halpern, 79세, 이스라엘 국적) 씨는 화장실에서 갑작스러운 어지러움과 함께 실신했습니다. 의식을 되찾은 후 홍응옥 종합병원을 찾은 그는 일시적인 기억 상실, 전신 무력감, 사지 냉증을 동반한 상태였습니다.
할펀 씨는 일본에서 다년간 심혈관 약물을 복용하며 정기 검진을 받아왔음에도 불구하고, 혈압이 150/100 mmHg에서 최고 180/100 mmHg까지 치솟는 등 조절에 어려움을 겪고 있었습니다. 또한 이상지질혈증과 심부전 병력도 보유하고 있었습니다.
내경동맥 폐쇄로 인한 실신 및 일시적 의식 상실
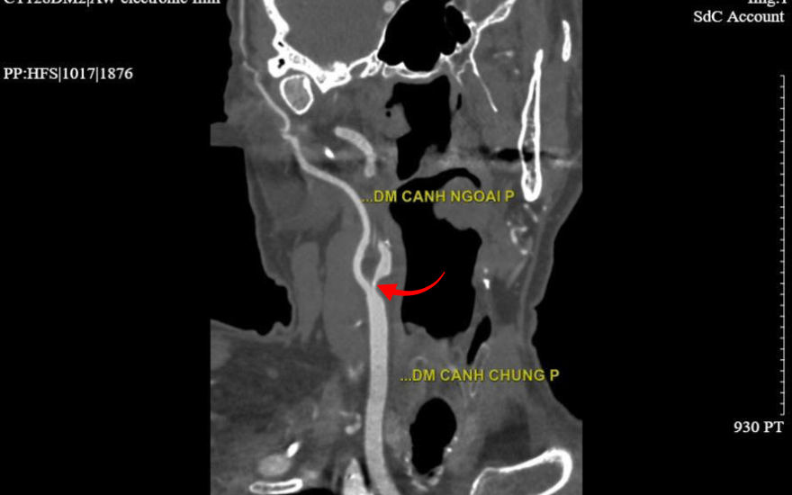
홍옥 푹즈엉밍 종합병원 심장 및 심혈관 중재술 과의 까오 마잉 훙(Cao Manh Hung) 전문의는 환자의 증상을 전형적인 일과성 뇌허혈 발작(TIA)으로 진단하고 뇌졸중 위험이 매우 높다고 판단했습니다. 정밀 검사 결과, 우측 내경동맥 입구가 90% 이상 협착되어 있었으며 다수의 죽상경화반이 발견되었습니다. 또한, 심장의 좌전하행지(LAD) 관상동맥 역시 90% 이상 협착된 상태였습니다.
심장에서 뇌까지: 단계적·안전·정밀 중재 전략
고령에 복합 질환을 가진 환자의 상태를 고려하여, 의료진은 경동맥 중재술을 서두르지 않고 심장 기능을 먼저 안정시키는 개인 맞춤형 단계적 치료를 결정했습니다.
의료진은 경동맥 중재술을 서두르지 않고 심장 기능을 먼저 안정시키는 개인 맞춤형 단계적 치료를 결정했습니다.
심장과장 응우옌 반 하이(Nguyen Van Hai) 전문의는 “경동맥 팽대부는 혈압과 심박수를 조절하는 예민한 부위로, 중재술 시 저혈압이나 서맥을 유발할 수 있다”며, “할펀 씨처럼 관상동맥 질환을 동반한 경우, 심장을 먼저 안정시킨 후 경동맥을 처치하는 것이 훨씬 안전하다”고 설명했습니다.
1단계: 급성 심근경색 예방을 위해 관상동맥 스텐트 삽입술 우선 시행.
2단계: 5일 후 심장 혈류가 안정된 상태에서 뇌 혈류 복원을 위한 경동맥 스텐트 삽입술 시행.
시술 3일 후 건강한 모습으로 퇴원했습니다.
중재술 직후 할펀 씨의 두통과 어지러움 증상은 거의 사라졌으며, 시술 3일 후 건강한 모습으로 퇴원했습니다.
의학적 조언 및 결론
하이 전문의는 “사지 위약, 안면 마비, 의식 상실, 시야 장애 등 뇌졸중 전조 증상이 있거나 심혈관 위험 인자가 있는 환자는 정기적인 경동맥 도플러 초음파 검사를 권장한다”고 강조했습니다. 이는 비침습적 스크리닝을 통해 혈관 협착을 조기에 발견하고 적기에 치료할 수 있는 가장 효과적인 방법입니다.
공항 실신 후 심각한 경동맥 협착 발견, 뇌졸중 위험 높았던 79세 이스라엘 환자 홍응옥 종합병원에서 극적으로 회복
내경동맥 폐쇄로 인한 실신 및 일시적 의식 상실
베트남 여행을 위해 노이바이 공항에 도착한 잭 할펀(Jack Halpern, 79세, 이스라엘 국적) 씨는 화장실에서 갑작스러운 어지러움과 함께 실신했습니다. 의식을 되찾은 후 홍응옥 종합병원을 찾은 그는 일시적인 기억 상실, 전신 무력감, 사지 냉증을 동반한 상태였습니다.
할펀 씨는 일본에서 다년간 심혈관 약물을 복용하며 정기 검진을 받아왔음에도 불구하고, 혈압이 150/100 mmHg에서 최고 180/100 mmHg까지 치솟는 등 조절에 어려움을 겪고 있었습니다. 또한 이상지질혈증과 심부전 병력도 보유하고 있었습니다.
내경동맥 폐쇄로 인한 실신 및 일시적 의식 상실
홍옥 푹즈엉밍 종합병원 심장 및 심혈관 중재술 과의 까오 마잉 훙(Cao Manh Hung) 전문의는 환자의 증상을 전형적인 일과성 뇌허혈 발작(TIA)으로 진단하고 뇌졸중 위험이 매우 높다고 판단했습니다. 정밀 검사 결과, 우측 내경동맥 입구가 90% 이상 협착되어 있었으며 다수의 죽상경화반이 발견되었습니다. 또한, 심장의 좌전하행지(LAD) 관상동맥 역시 90% 이상 협착된 상태였습니다.
심장에서 뇌까지: 단계적·안전·정밀 중재 전략
고령에 복합 질환을 가진 환자의 상태를 고려하여, 의료진은 경동맥 중재술을 서두르지 않고 심장 기능을 먼저 안정시키는 개인 맞춤형 단계적 치료를 결정했습니다.
의료진은 경동맥 중재술을 서두르지 않고 심장 기능을 먼저 안정시키는 개인 맞춤형 단계적 치료를 결정했습니다.
심장과장 응우옌 반 하이(Nguyen Van Hai) 전문의는 “경동맥 팽대부는 혈압과 심박수를 조절하는 예민한 부위로, 중재술 시 저혈압이나 서맥을 유발할 수 있다”며, “할펀 씨처럼 관상동맥 질환을 동반한 경우, 심장을 먼저 안정시킨 후 경동맥을 처치하는 것이 훨씬 안전하다”고 설명했습니다.
1단계: 급성 심근경색 예방을 위해 관상동맥 스텐트 삽입술 우선 시행.
2단계: 5일 후 심장 혈류가 안정된 상태에서 뇌 혈류 복원을 위한 경동맥 스텐트 삽입술 시행.
시술 3일 후 건강한 모습으로 퇴원했습니다.
중재술 직후 할펀 씨의 두통과 어지러움 증상은 거의 사라졌으며, 시술 3일 후 건강한 모습으로 퇴원했습니다.
의학적 조언 및 결론
하이 전문의는 “사지 위약, 안면 마비, 의식 상실, 시야 장애 등 뇌졸중 전조 증상이 있거나 심혈관 위험 인자가 있는 환자는 정기적인 경동맥 도플러 초음파 검사를 권장한다”고 강조했습니다. 이는 비침습적 스크리닝을 통해 혈관 협착을 조기에 발견하고 적기에 치료할 수 있는 가장 효과적인 방법입니다.