4년 이상 원인 불명의 저항성 고혈압(Resistant Hypertension)으로 고통받던 우크라이나 국적의 이사이에바 넬리(Isaieva Nelli) 씨가 홍옥 종합병원(Hong Ngoc General Hospital)에서 정밀 진단과 적절한 중재 시술을 통해 성공적으로 치료받았습니다. 이번 사례는 만성 증상 뒤에 숨겨진 내분비적 원인 규명의 중요성을 보여줄 뿐만 아니라, 조절이 어려운 고혈압 환자들에게 근본적인 치료의 길을 제시하고 있습니다.
38세, 저항성 고혈압과 복합적인 내분비 장애 동반
우크라이나 국적의 넬리(38세) 씨는 외상 없이 양쪽 종아리 통증, 간헐적 하지 위약감 및 보행 장애 증상으로 홍옥 종합병원을 찾았습니다. 검사 결과, 환자는 심각한 저칼륨혈증(Hypokalemia) 상태였습니다. 혈중 칼륨 수치는 정상 범위를 훨씬 밑도는 2 mmol/L로 측정되었으며, 이는 부정맥 및 근육 손상의 위험이 매우 높은 수치였습니다.
특히 환자는 4년 전부터 고혈압 병력이 있었으며, 혈압 조절을 위해 세 가지 계열의 항고혈압제를 최대 용량으로 병용 투여하고 있었습니다. 그럼에도 불구하고 혈압 수치는 여전히 불안정했으며 두통, 불면증 등의 증상으로 일상생활에 큰 지장을 받고 있었습니다.
홍옥 종합병원 내분비내과 전문의 도안 티 홍 리엔(Doan Thi Hong Lien) 과장은 "환자는 암로디핀(Amlodipine), 페린도프릴(Perindopril), 인다파미드(Indapamide) 등 세 가지 약물을 동시에 복용 중이었습니다. 이는 젊은 연령대 환자에게 매우 강한 처방입니다. 따라서 우리는 이를 저항성 고혈압으로 판단하고, 이차성 고혈압(Secondary Hypertension) 원인을 배제하기 위한 심층 평가를 진행했습니다"라고 설명했습니다.
환자 넬리 씨는 "독일과 우크라이나에서도 검사를 받았지만 원인을 찾지 못했습니다. 20분 정도 앉아 있으면 다시 일어서서 걷기까지 10분 가까이 걸렸고, 고강도 운동을 한 것처럼 근육통과 피로감이 심했습니다"라며 그간의 고통을 전했습니다.
이상 징후 추적을 통한 숨겨진 원인 규명
홍 리엔 과장은 심각한 저칼륨혈증과 난치성 고혈압이라는 두 가지 핵심 징후를 바탕으로 내분비적 원인에 집중했습니다. 정밀 검사 결과, 알도스테론(Aldosterone) 농도는 11.4 ng/mL로 상승한 반면, 레닌(Renin) 수치는 0.5 µIU/mL 미만으로 급감해 있었습니다. 이로 인해 알도스테론/레닌 비(ARR)가 크게 상승하며 원발성 알도스테론증(Primary Aldosteronism) 가능성이 강력히 시사되었습니다.
동시에 다른 내분비 장애를 배제하기 위해 '야간 덱사메타손 억제 검사(Overnight Dexamethasone Suppression Test)'를 시행하여 하위 임상 쿠싱 증후군 여부를 확인했습니다. 검사 결과 코르티솔 분비가 적절히 억제되어 내인성 코르티솔 과다 분비 가능성을 배제함으로써 진단의 정확도를 높였습니다.
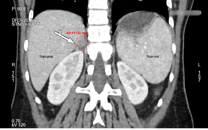
이어 시행한 복부 CT 촬영 결과, 우측 부신에서 약 23 × 11 × 22 mm 크기의 전형적인 양성 선종 소견이 관찰되었습니다. 모든 결과를 종합하여 의료진은 환자를 우측 부신 선종으로 인한 콘 증후군(Conn’s Syndrome)으로 최종 진단했습니다.
CT 영상에서 우측 부신에 약 23 × 11 × 22 mm 크기의 종양이 관찰됨.
"콘 증후군은 부신에서 알도스테론 호르몬이 조절 기전과 무관하게 과잉 생산되는 내분비 질환입니다. 이는 체내 나트륨과 수분 저류를 유발하고 칼륨 배출을 촉진하여 만성적인 고혈압과 저칼륨혈증을 일으킵니다. 적기에 치료하지 않으면 심부전, 신부전, 뇌졸중 등 치명적인 심혈관 합병증으로 이어질 수 있습니다." (도안 티 홍 리엔 과장)
“이런 검사들을 받는 것은 이번이 처음입니다. 의료진이 첫 검사 단계부터 매우 정확한 접근 방식을 보여주었고, 원인을 끝까지 찾아내려는 끈기 있는 모습에 깊은 신뢰를 느꼈습니다. 그래서 치료 계획을 전적으로 믿고 따르고 있습니다.” - 환자 넬리(Nelli) 씨의 소감.
치료의 전환점: 홍옥 종합병원에서의 4년 고혈압 종결
원인이 명확해짐에 따라 관련 분과 간의 다학제 협진이 이루어졌습니다. 의료진은 내분비 장애의 근본 원인을 제거하기 위해 복강경 우측 부신 절제술(Laparoscopic Right Adrenalectomy)을 결정했습니다.
수술은 외과 전문의 쿠 쭝 끼엔(Cu Trung Kien) 석사가 집도했습니다. 1cm 미만의 작은 절개창 3개를 통한 최소 침습 복강경 방식으로 부신을 절제하여 수술 후 통증을 최소화하고 회복 기간을 단축했습니다.
수술 후 환자의 회복은 빨랐습니다. 수술 3일 차에 넬리 씨는 "화요일에 수술받고 수요일 오후부터 간호사의 도움을 받아 걸을 수 있었습니다. 이전과 같은 근육통이 사라졌고, 어젯밤에는 정말 오랜만에 숙면을 취했습니다"라고 말했습니다.
환자는 수술 후 1일 만에 빠른 회복을 보임
검사 수치 또한 눈에 띄게 개선되었습니다. 추가적인 칼륨 보충이나 알도스테론 길항제 없이도 혈중 칼륨 수치가 2.04 mmol/L에서 3.77 mmol/L로 정상화되었으며, 근육 효소 수치도 정상 범위로 돌아왔습니다. 24시간 활동 혈압 모니터링(ABPM) 결과, 이전보다 혈압이 훨씬 안정적으로 조절되는 것이 확인되었습니다.
가장 고무적인 변화는 수술 전 3종의 항고혈압제를 복용하던 환자가 수술 후 단 1종의 약물만으로도 안정적인 혈압을 유지하게 된 것입니다. 이는 원인 치료의 명확한 효과를 입증합니다.
1주일 후 재검사에서도 알도스테론 및 레닌 수치가 정상 범위 내에서 유지되었으며, 임상적 상태도 매우 양호했습니다.
홍 리엔 과장은 "이번 사례는 오랜 기간 고혈압을 앓으면서도 정확한 원인을 찾지 못해 약물 오남용과 조절 실패를 겪은 전형적인 경우"라며, "특히 조절이 어렵거나 다제병용 요법이 필요한 고혈압 환자의 경우 이차성 원인에 대한 선별 검사가 매우 중요하다"고 강조했습니다.
의료진은 "고혈압 환자, 특히 저항성 고혈압이나 다제요법이 필요한 환자의 경우, 이차성 고혈압 원인에 대한 감별 진단이 매우 중요합니다. 정확한 진단과 적기 개입이 이루어진다면 증상 개선뿐만 아니라 장기적인 심혈관계 합병증 위험도 현저히 낮출 수 있다"고 강조했습니다.
4년 이상 원인 불명의 저항성 고혈압(Resistant Hypertension)으로 고통받던 우크라이나 국적의 이사이에바 넬리(Isaieva Nelli) 씨가 홍옥 종합병원(Hong Ngoc General Hospital)에서 정밀 진단과 적절한 중재 시술을 통해 성공적으로 치료받았습니다. 이번 사례는 만성 증상 뒤에 숨겨진 내분비적 원인 규명의 중요성을 보여줄 뿐만 아니라, 조절이 어려운 고혈압 환자들에게 근본적인 치료의 길을 제시하고 있습니다.
38세, 저항성 고혈압과 복합적인 내분비 장애 동반
우크라이나 국적의 넬리(38세) 씨는 외상 없이 양쪽 종아리 통증, 간헐적 하지 위약감 및 보행 장애 증상으로 홍옥 종합병원을 찾았습니다. 검사 결과, 환자는 심각한 저칼륨혈증(Hypokalemia) 상태였습니다. 혈중 칼륨 수치는 정상 범위를 훨씬 밑도는 2 mmol/L로 측정되었으며, 이는 부정맥 및 근육 손상의 위험이 매우 높은 수치였습니다.
특히 환자는 4년 전부터 고혈압 병력이 있었으며, 혈압 조절을 위해 세 가지 계열의 항고혈압제를 최대 용량으로 병용 투여하고 있었습니다. 그럼에도 불구하고 혈압 수치는 여전히 불안정했으며 두통, 불면증 등의 증상으로 일상생활에 큰 지장을 받고 있었습니다.
홍옥 종합병원 내분비내과 전문의 도안 티 홍 리엔(Doan Thi Hong Lien) 과장은 "환자는 암로디핀(Amlodipine), 페린도프릴(Perindopril), 인다파미드(Indapamide) 등 세 가지 약물을 동시에 복용 중이었습니다. 이는 젊은 연령대 환자에게 매우 강한 처방입니다. 따라서 우리는 이를 저항성 고혈압으로 판단하고, 이차성 고혈압(Secondary Hypertension) 원인을 배제하기 위한 심층 평가를 진행했습니다"라고 설명했습니다.
환자 넬리 씨는 "독일과 우크라이나에서도 검사를 받았지만 원인을 찾지 못했습니다. 20분 정도 앉아 있으면 다시 일어서서 걷기까지 10분 가까이 걸렸고, 고강도 운동을 한 것처럼 근육통과 피로감이 심했습니다"라며 그간의 고통을 전했습니다.
이상 징후 추적을 통한 숨겨진 원인 규명
홍 리엔 과장은 심각한 저칼륨혈증과 난치성 고혈압이라는 두 가지 핵심 징후를 바탕으로 내분비적 원인에 집중했습니다. 정밀 검사 결과, 알도스테론(Aldosterone) 농도는 11.4 ng/mL로 상승한 반면, 레닌(Renin) 수치는 0.5 µIU/mL 미만으로 급감해 있었습니다. 이로 인해 알도스테론/레닌 비(ARR)가 크게 상승하며 원발성 알도스테론증(Primary Aldosteronism) 가능성이 강력히 시사되었습니다.
동시에 다른 내분비 장애를 배제하기 위해 '야간 덱사메타손 억제 검사(Overnight Dexamethasone Suppression Test)'를 시행하여 하위 임상 쿠싱 증후군 여부를 확인했습니다. 검사 결과 코르티솔 분비가 적절히 억제되어 내인성 코르티솔 과다 분비 가능성을 배제함으로써 진단의 정확도를 높였습니다.
이어 시행한 복부 CT 촬영 결과, 우측 부신에서 약 23 × 11 × 22 mm 크기의 전형적인 양성 선종 소견이 관찰되었습니다. 모든 결과를 종합하여 의료진은 환자를 우측 부신 선종으로 인한 콘 증후군(Conn’s Syndrome)으로 최종 진단했습니다.
CT 영상에서 우측 부신에 약 23 × 11 × 22 mm 크기의 종양이 관찰됨.
"콘 증후군은 부신에서 알도스테론 호르몬이 조절 기전과 무관하게 과잉 생산되는 내분비 질환입니다. 이는 체내 나트륨과 수분 저류를 유발하고 칼륨 배출을 촉진하여 만성적인 고혈압과 저칼륨혈증을 일으킵니다. 적기에 치료하지 않으면 심부전, 신부전, 뇌졸중 등 치명적인 심혈관 합병증으로 이어질 수 있습니다." (도안 티 홍 리엔 과장)
“이런 검사들을 받는 것은 이번이 처음입니다. 의료진이 첫 검사 단계부터 매우 정확한 접근 방식을 보여주었고, 원인을 끝까지 찾아내려는 끈기 있는 모습에 깊은 신뢰를 느꼈습니다. 그래서 치료 계획을 전적으로 믿고 따르고 있습니다.” - 환자 넬리(Nelli) 씨의 소감.
치료의 전환점: 홍옥 종합병원에서의 4년 고혈압 종결
원인이 명확해짐에 따라 관련 분과 간의 다학제 협진이 이루어졌습니다. 의료진은 내분비 장애의 근본 원인을 제거하기 위해 복강경 우측 부신 절제술(Laparoscopic Right Adrenalectomy)을 결정했습니다.
수술은 외과 전문의 쿠 쭝 끼엔(Cu Trung Kien) 석사가 집도했습니다. 1cm 미만의 작은 절개창 3개를 통한 최소 침습 복강경 방식으로 부신을 절제하여 수술 후 통증을 최소화하고 회복 기간을 단축했습니다.
수술 후 환자의 회복은 빨랐습니다. 수술 3일 차에 넬리 씨는 "화요일에 수술받고 수요일 오후부터 간호사의 도움을 받아 걸을 수 있었습니다. 이전과 같은 근육통이 사라졌고, 어젯밤에는 정말 오랜만에 숙면을 취했습니다"라고 말했습니다.
환자는 수술 후 1일 만에 빠른 회복을 보임
검사 수치 또한 눈에 띄게 개선되었습니다. 추가적인 칼륨 보충이나 알도스테론 길항제 없이도 혈중 칼륨 수치가 2.04 mmol/L에서 3.77 mmol/L로 정상화되었으며, 근육 효소 수치도 정상 범위로 돌아왔습니다. 24시간 활동 혈압 모니터링(ABPM) 결과, 이전보다 혈압이 훨씬 안정적으로 조절되는 것이 확인되었습니다.
가장 고무적인 변화는 수술 전 3종의 항고혈압제를 복용하던 환자가 수술 후 단 1종의 약물만으로도 안정적인 혈압을 유지하게 된 것입니다. 이는 원인 치료의 명확한 효과를 입증합니다.
1주일 후 재검사에서도 알도스테론 및 레닌 수치가 정상 범위 내에서 유지되었으며, 임상적 상태도 매우 양호했습니다.
홍 리엔 과장은 "이번 사례는 오랜 기간 고혈압을 앓으면서도 정확한 원인을 찾지 못해 약물 오남용과 조절 실패를 겪은 전형적인 경우"라며, "특히 조절이 어렵거나 다제병용 요법이 필요한 고혈압 환자의 경우 이차성 원인에 대한 선별 검사가 매우 중요하다"고 강조했습니다.
의료진은 "고혈압 환자, 특히 저항성 고혈압이나 다제요법이 필요한 환자의 경우, 이차성 고혈압 원인에 대한 감별 진단이 매우 중요합니다. 정확한 진단과 적기 개입이 이루어진다면 증상 개선뿐만 아니라 장기적인 심혈관계 합병증 위험도 현저히 낮출 수 있다"고 강조했습니다.